宠物博物馆 首页 宠物新闻 宠物头条 查看内容

折耳猫的萌态是基因缺陷!国际权威数据揭示90%发病率的残酷真相 ...

2025-2-20 19:27| 发布者: 狗的猫宁| 查看: 146| 评论: 0|原作者: 宠物笔记$

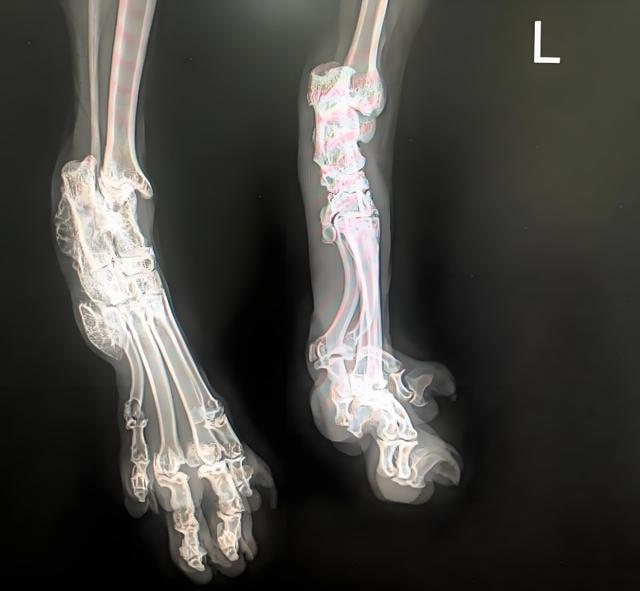
摘要: 央视暗访曝光产业链:止痛药续命、骨渣入髓,它们从出生就注定痛苦@濮阳丹妮宠物医院史大夫 折耳猫发病X光片“你以为折耳猫的乖巧是天生?那是骨痛到无法动弹的绝望!”国际兽医协会(WSAVA)2023年报告证实:折耳猫 ...

央视暗访曝光产业链:止痛药续命、骨渣入髓,它们从出生就注定痛苦

@濮阳丹妮宠物医院史大夫 折耳猫发病X光片

“你以为折耳猫的乖巧是天生?那是骨痛到无法动弹的绝望!”

国际兽医协会(WSAVA)2023年报告证实:折耳猫因Fd基因突变,软骨病发病率高达92.3%。央视《焦点访谈》暗访山东某繁殖场,种猫因骨骼变形被铁链锁住配种,幼崽未满月已出现跛行。

残酷真相1️⃣ 基因死刑

《Osteochondrodysplasia in Scottish Fold cats》

《兽医内科学》研究显示:折耳猫的"萌耳"实为COL2A1基因缺陷标志,2月龄起全身软骨加速溶解,最终导致:

脊柱骨刺密度超健康猫370%(牛津大学2022年CT扫描数据)67%的折耳猫因胸骨畸形窒息死亡(北京农学院解剖统计)

2️⃣ 疼痛地狱

上海喵星动物医院记录显示:

发病猫疼痛等级达7级(人类类比:粉碎性骨折)90%饲主因月均3000元治疗费弃养,病猫平均存活仅1.8年

3️⃣ 人性之恶深圳市场监管局2024年查处案例曝光:

58%养殖场用地塞米松掩盖病症,导致83%种猫肝肾功能衰竭某电商平台年售折耳猫超4万只,幼猫死亡率达42%仍宣称"健康温顺"

(关注,回复可领取图片,不忍心放出来)

血泪对比英国《动物福利法》第14条明文禁止折耳猫繁殖,违者最高判刑5年。而我国农业农村部2024年1月回应:“尚未将其列为遗传缺陷品种”。

@《Osteochondrodysplasia in Scottish Fold cats》

@濮阳丹妮宠物医院史大夫

#折耳猫#

#领养代替购买##发一张图片看看你们家的猫##哪种宠物猫最可爱#


路过

雷人

握手

鲜花

鸡蛋

QQ- sitemap- 宠物博物馆

Copyright © 2019-2025 宠物博物馆  杭州狗的猫宁电子商务有限公司 版权所有
中国互联网举报中心 杭州互联网违法和不良信息举报平台 网络110报警服务 浙ICP备19035174号-11 | 浙公网安备 33010402003971号